Cirurgia Conservadora da Anca
O objectivo da Cirurgia Conservadora da Anca é preservar a anca, corrigindo as alterações existentes que causam dor, limitação e deficiente qualidade de vida ao paciente, para tentar atrasar e/ou evitar a progressão mais ou menos rápida de algumas delas para a deterioração total, para a artrose.
Deverá ser realizada antes que a articulação esteja já com alterações marcadas, antes que não haja outra solução que não seja a artroplastia total (prótese).
O uso moderno das técnicas conservadoras é justificado pelo menos bom resultado da artroplastia total da anca nos doentes jovens e pela melhoria no conhecimento das bases mecânicas da osteoartrite da anca.
Os avanços nos conhecimentos e a utilização de novas abordagens da articulação da anca contribuíram de forma decisiva para o desenvolvimento da cirurgia conservadora.
Os candidatos ideais para a cirurgia conservadora da anca são os jovens activos, que têm uma causa mecânica identificável para os seus sintomas.
A Cirurgia Conservadora é geralmente efectuada em situações de:
1 - Anca instável:
· Doença displásica da anca (DDA)
· Coxa valga
· Anteversão exagerada do colo do fémur
· Laxidez ligamentar
3 - Lesões do labrum
4 - Lesões da cartilagem articular da anca
5 - Deformidade residual:
· Doença de Leeg-Calvé-Perthes
6 - Osteonecrose da cabeça do fémur
Na displasia da anca ou doença displásica da anca (DDA) o acetábulo é oblíquo, pouco profundo, estreito, lateralizado, antevertido e com deficiente cobertura anterosuperior.
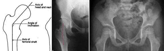
O fémur tem cabeça pequena, colo curto, anteversão exagerada do colo, ângulo cervicofiafisário aumentado, desvio posterior do grande trocanter, canal femoral estreito.

.jpg)

OS EXAMES MAIS ÚTEIS PARA O DIAGNÓSTICO, são:
RX: face correcta da bacia, Rx de face e perfil das ancas
TAC
RMN (com ou sem gadolineo)
ARTROSCOPIA
.jpg)
Por artroscopia tratam-se as lesões da cartilagem e as lesões do labro, retiram-se os corpos livres e trata-se a doença sinovial.
.jpg)

.jpg)
.jpg)
· Shelf (butée), na actualidade raramente utilizada, resultados díspares nas séries publicadas.

.jpg)
Em algumas ancas displásicas há uma cabeça aplanada e com um volumoso osteófito medial (capital drop) e a osteotomia de valgização pode aumentar a congruência articular, a medialização do centro de rotação, aumentar o comprimento do membro, melhorar a função dos abdutores pelo melhor posicionamento do grande trocanter.




Tratamento

.jpg)
C - COXA VALGA

Quando houver sintomatologia (dor, claudicação) e alterações imagiológicas há indicação para cirurgia, para correção do valgo e para melhorar a congruência articular, diminuindo a sintomatologia e melhorando o bem-estar e qualidade de vida do paciente, e prevenindo a evolução e instalação da artrose grave.
A cirurgia deverá ser feita antes que haja artrose avançada.

D - ANTEVERSÃO EXAGERADA DO COLO DO FÉMUR

E - LAXIDEZ LIGAMENTAR

NOTA: VER CAPÍTULO DO CONFLITO FEMOROACETABULAR
As lesões do labrum são frequentes e as suas causas principais são o traumatismo, o conflito femoroacetabular, a laxidez capsular e a hipermobilidade, a displasia da anca, e podem ser também de natureza degenerativa.
A lesão do labrum tem início na junção condro-labral, geralmente há preservação da inserção óssea do labrum e este tipo de rotura é mais frequente no conflito tipo CAM.
A rotura também pode ser intrasubstância do labrum e este tipo de rotura é mais frequente no conflito tipo pincer.
O labrum pode estar degenerado, pode ter rotura parcial ou completa (de toda a espessura), pode estar destacado, pode estar ossificado ou calcificado, pode ter quistos.
A rotura pode ser tipo flap com fibrilação, rotura radial, rotura longitudinal, rutura instável.
As roturas do labrum têm potencial de cicatrização espontânea, ou após correção da anomalia óssea.
Tratamento:
· Tratamento conservador
O tratamento para as roturas não associadas a anomalia óssea é conservador e assim deve ser feito tratamento durante 8-12 semanas com restrição da actividade física, com anti-inflamatórios e com fisioterapia. Se não houver alívio dos sintomas poderá ser feito tratamento cirúrgico, geralmente artroscópico.
· Tratamento cirúrgico
Na cirurgia aberta e mais frequentemente artroscópica, faz-se a reparação anatómica de acordo com as lesões verificadas.
Reparação anatómica do labrum: faz-se a reinserção estável da base, restaura-se a continuidade da transição condrolabral, restaura-se a geometria, preserva-se a função do labrum.
Tratamento da deformidade tipo CAM e/ou pincer.
Avaliação da lesão do labrum: avaliar a estabilidade e transição condrolabral.
Preparação do labrum: remoção do tecido não viável, separação do labrum do rebordo acetabular, fresagem do rebordo ósseo acetabular (potencial de cicatrização)
Sutura do labrum com reinserção com âncoras no rebordo ósseo acetabular previamente preparado por fresagem.
Correção das alterações ósseas [conflito femoroacetabular (CFA) tipo CAM ou pincer], para prevenir nova lesão do labrum.
A causa mais frequente para a cirurgia de revisão é o CFA residual.
Resseção do labrum quando degenerado e hipotrófico, nas roturas complexas não reparáveis associadas a lesões condrais extensas.
.jpg)
.jpg)


A artroscopia tem potencial de exacerbação da instabilidade. Trata-se a displasia (osteotomia periacetabular) e só depois se anca sintomática se fará a reparação do labrum.
O que aconteceu na epifisiólise foi um descolamento pela zona da cartilagem de crescimento, com o subsequente deslizamento da cabeça para baixo e para trás (para posteroinferior) em relação ao colo femoral.
.jpg)
O estudo imagiológico é feito com Rx e se necessário a TAC.

O doente sintomático é candidato a cirurgia conservadora da anca e é efectuado tratamento cirúrgico que consiste em recolocar a cabeça femoral em posição o mais anatómica possível, e com a técnica cirúrgica da “luxação segura”.


B - DOENÇA DE LEEG-CALVÉ-PERTHES
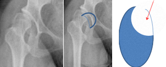
O que causa a osteonecrose é a falta de aporte sanguíneo geralmente á região anterosuperior (área de suporte de carga) da cabeça do fémur o que leva à necrose (morte) do osso dessa zona.
O trauma é uma causa comum de osteonecrose e acontece porque há lesão das artérias nutritivas da cabeça do fémur (fracturas da cabeça ou do colo do fémur, luxação da anca).
Algumas condições atraumáticas (doença de Caisson, doença de células falciformes, doenças mieloproliferativas, doenças da coagulação) podem causar osteonecrose pelo deficit de irrigação sanguínea do osso.
A maioria dos casos de osteonecrose são de causa desconhecida, mas têm numerosos factores de risco associados (uso de corticoesteroides, alcoolismo, tabagismo, lupus, doença renal crónica, doença inflamatória da bexiga, infecção pelo HIV, hipertensão, transplantados, hiperlipidemia, gravidez, quimioterapia), e alguns indivíduos têm predisposição genética para osteonecrose.



Com o tratamento médico nos estádios pré-colapso pretende-se melhorar a função e aliviar a dor, prevenir a progressão para colapso e promover a cura da lesão de necrose.
As estatinas (fármacos hipolipidémicos, que diminuem a gordura no sangue) são referidas como contrariando esta diferenciação anormal de adipócitos, promovem a diferenciação osteoblástica, previnem a indução da osteonecrose pelos corticoides.

.jpg)

.jpg)
.jpg)
O enxerto ósseo vascularizado proporciona um suporte estruturado viável (perónio vascularizado, enxerto vascularizado da crista ilíaca) para prevenir o colapso da cartilagem.
Por causa da irrigação sanguínea e potencial poder osteogénico, o enxerto vascularizado leva à recuperação da área de osso necrótico.
Os resultados são menos bem sucedidos se as lesões necróticas forem de tamanho superior a 50% da cabeça femoral ou se houver um colapso da cartilagem de mais de 2 mm.


A deficiente substituição óssea na área necrótica levou a pesquisa no uso de reforço biológico do processo reparador na forma de stem cells, matriz óssea desmineralizada,
.jpg)
A osteotomia intertrocantérica rotacional é feita de forma a colocar a região necrótica da cabeça femoral fora da área de suporte de carga.
.jpg)
Nos Estados Unidos, entre 5% a 12% das próteses da anca efectuadas anualmente são causadas por necrose avascular.